Сподіваємося, що ви на цьому терміні вже розібралися, як саме рахують терміни і не нарахували 6 тижнів від затримки менструації, якщо ні, то нагадуємо, що ми розглядаємо терміни згідно акушерського календаря. А це значить, що точкою відліку є момент останньої менструації.
6 тижнів по акушерському календарю вагітності відповідає 4-тому від зачаття, середині другого місячного місяця і початку другого місяця, якщо рахувати звичайними місяцями.
Шостий тиждень - це час, коли гормональна буря в організмі набирає ураганну силу, тіло змінюється щодня, підлаштовуючись під виношування дитини. Мало у кого з жінок на такому терміні немає токсикозу. У більшості в тій чи іншій мірі з'явилися підвищена чутливість до запахів, ранкова нудота, слабкість, сонливість, дратівливість, дивні харчові бажання. Всі неприємні і незвичайні відчуття пов'язані з впливом гормонів і пройдуть самі собою, як тільки ваше тіло звикне до своєї нової роллі. Зазвичай це відбувається до кінця третього місяця.
Якщо ви відстежували свій цикл по температурі, то зараз саме час побачити довгоочікувані зміни - базальна температура залишилася стабільно високою і не збирається падати.
Зараз всі ознаки і симптоми нового стану виражені ще досить слабо. Крім зміни самопочуття і затримки менструації, ви можете помітити потемніння сосків, збільшення і болючість грудей. Періодично може виникати відчуття, що тягне живіт - це обумовлено розтягуванням зв'язок матки. Найбільшою проблемою для майбутньої мами на такому терміні вагітності може стати харчування. У багатьох виникає особлива відраза до м'ясної їжі, проте, їсти потрібно все! Харчуйтеся невеликими порціями і тримайте поруч з постіллю сухарик або печиво - така їжа до підйому з ліжка допомагає позбутися від нудоти. Побільше пийте, і задовольняйте всі забаганки і дивні бажання шлунка. Зараз ви маєте на це повне право.
Секс і раніше допустимий. Обмежуватися лише треба, якщо раніше на цьому терміні були викидні і аборти, або відчуваєте, що явно щось йде не так.
Зараз настає один з найбільш ключових моментів у розвитку нервової системи плода. Проста трубка під кінець цього терміну здобуде всі основні риси нервової системи людини, з'явиться зачаток головного мозку, виникнуть перші нервові зв'язки. Розмір плоду становить 4-5 мм, тобто дитинка не більша від горошини. Розвиток ембріона йде величезними темпами. Дитина вже обзаводиться зачатками рук і ніг, а до початку наступної семиденки можна буде побачити навіть зачатки пальчиків. Лице поки не оформилося, зберігаються ембріональні щілини. В області майбутніх очей з'являються зорові ямки, а складочки позначають майбутні носик і вушка. Формується внутрішнє вухо, і, хоча малюк нічого не бачить і не чує, він вже починає відчувати. Тепер не тільки шкіра близько ротика, але і в області внутрішньої поверхні стегон чутлива. Дитина отримує можливість рухатися, оскільки м'язова і нервова тканина сформовані вже на достатньому рівні. Так само він може реагувати на зовнішнє подразнення. Сердечко ембріона виступає горбком на його грудях. Серцебиття чітко видно при ультразвуковому обстеженні. Починає формуватися імунна система дитини, з'являється зачаток тимуса і селезінки, кісткового мозку. Кісток як таких ще немає, але є хрящові структури, з яких вони будуть розвиватися. Кишечник розвивається все краще, стає довгим, утворюючи вже три петлі, через що перестає поміщатися в черевній порожнині ембріона, і частково виявляється в пупковому канатику. Це ембріональна грижа пупкового канатика, яка пройде сама собою через деякий проміжок часу, коли порожнину животика збільшиться до необхідних розмірів і зможе її вмістити.
Формується стравохід і розширення шлунка, однак просвіт в них ще не сформований, оскільки вихід з кишечника (пряма кишка) не розвинулася і закрита плівкою-мембраною. Зараз ще не сформовані і знаходяться в зародковому стані статеві органи, тому по виду промежини малюка не ясно, хлопчик це чи дівчинка. Формуються органи сечовиділення і легені майбутньої дитини.
У зародка все ще видно зяброві щілини і хвостик. Обсяг амніотичної бульбашки збільшується до 2-2.5 см.
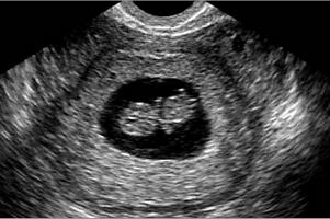
Живіт як і раніше не помітний, хоча матка вже збільшилася настільки, що при огляді гінеколог легко підтверджує наявність вагітності. Якщо ви помітили, що у вас росте живіт - це не через малюка. Просто почався перерозподіл жирових відкладень і у вас страждає травлення, живіт може бути трохи роздутий. Аналізи та обстеження УЗД на цьому терміні легко підтверджує факт перебування жінки в цікавому положенні. Лікар бачить серцебиття дитини (серце скорочується зі швидкістю 110-115 ударів на хвилину). Плодове яйце має розміри близько 2.5 см, КТР зародка близько 5 мм. Аналізи, засновані на визначенні ХГЧ на такому терміні позитивні у всіх жінок. Однак при позаматковій вагітності рівень ХГЧ нижче звичайного, і це є однією з діагностичних ознак.
Небезпека переривання на такому терміні дуже велика. Особливо це стосується жінок, які раніше мали викидні або аборти в ідентичний період. Щоб убезпечити малюка, варто бути гранично уважною до свого організму. Повинні насторожити будь-які не характерні виділення - коричневі, рожеві або кров'яні, а також болі. Якщо болить поперек або живіт (не тягне, а саме болить) - потрібно терміново звернутися до гінеколога. Білі виділення, що супроводжуються свербінням, можуть свідчити про молочницю, яка досить часто турбує майбутніх мам. Це пов'язано з особливостями імунітету і гормонального фону.
Зараз мимовільний аборт або завмерла вагітність можуть трапитися з багатьох причин - застуда, висока температура відносяться до факторів ризику. Кров з статевих шляхів на такому терміні - це не місячні, а сигнал можливої катастрофи. Приблизно у кожної четвертої жінки можуть бути кров'янисті виділення в цей період, але в кожному разі це сигнал того, що не все тече благополучно. Зверніться до лікаря! Якщо у вас затримка вже більше 14 діб, а як і раніше тест негативний - можлива позаматкова вагітність, поспішіть з'ясувати це.
Ви ніяк не можете здогадатися про те, що носите двійню. Тільки лікар допоможе розкрити цю таємницю. Наявність двох ембріонів на цьому терміні відмінно визначається при ультразвуковому обстеженні або може бути запідозрено гінекологом при огляді.

Коментарі