Отже, 7 тижнів вагітності по акушерському календарю відповідає 5-тому тижні від зачаття, 3-тьому від затримки менструації, початку другої половини другого місячного місяця вагітності. (Якщо у вас сьома семиднівка від зачаття, потрібно читати вже про дев'яту по акушерському методу).
Основні відчуття на цьому терміні пов'язані з початком раннього токсикозу, якого рідко кому вдається уникнути. В першу чергу токсикоз порушує систему харчування. Їсти або не хочеться зовсім, або ж виникають дивні примхи, не властиві вам у звичайному стані. Самопочуття у більшості жінок помірно порушено. Сонливість, втома є звичайними симптомами, хоча за вашим зовнішнім виглядом неможливо визначити цікавого положення. Зовні ви ще зовсім не змінилися. У більшості народів на ранніх термінах прийнято зберігати вагітність у таємниці. Причина проста - все ще дуже високий ризик викидня (на цьому терміні матері втрачають своїх дітей в одному випадку з шести). Якщо ви не готові до того, що може трапитися таке, що вам доведеться приймати співчуття, краще мовчіть. Якщо трапиться викидень, ніхто про це не дізнається. Нехай поки про ваше цікаве положення будете знати тільки ви, ваші близькі та гінеколог.
Настає час, коли всі ознаки цікавого положення стають явними, хоча зовні і раніше нічого не помітно. Швидше за все, зараз ви не дуже добре себе почуваєте. Сонливість, поганий апетит, перепади настрою, і, звичайно, токсикоз - основні труднощі цього періоду. Багато жінок знаходять перші місяці вагітності вельми привабливими для фігури, так як поліпшується форма - груди стає більшими, а жировий шар починає перерозподілятися по-особливому. З'являється блиск в очах, і якась таємниця, яку знаєте тільки ви. Але є й ті, хто відчуває дискомфорт в перші місяці. Можуть з'явитися проблеми зі шкірою, наприклад, вона стане схильною до подразнення або з'являється пігментація. А волосся може стати слабким і тьмяним. Проблеми часто пов'язані не тільки з гормональними змінами, а й нестачею вітамінів і мінералів. Особливо важлива фолієва кислота, яка бере участь в процесі формування нервової системи дитини. Тому якщо через токсикоз ви не можете нормально харчуватися, почніть приймати вітаміни додатково (але тільки з розпорядження лікаря!). Якщо доводилося страждати від того, що ваші груди занадто маленькі, тепер є чим пишатися. У більшості представниць прекрасної статі в цей період помітно збільшуються груди. Правда вони стають не тільки красивими, але і болючими, тому поспішіть придбати спеціальний бюстгальтер, він допоможе відчувати себе комфортно в будь-якій ситуації.
Симптоми на цьому етапі вже настільки очевидні, що більшість жінок аніскільки не сумніваються у своєму становищі, і поспішають змінити спосіб життя. Вже зараз багато міняють спосіб життя і чомусь вносять секс і заняття спортом під заборону, хоча поки для цього немає видимих причин. Якщо ви раніше займалися спортом - можна продовжувати, але тільки зменшіть навантаження, якщо немає загрози переривання вагітності - секс теж не заборонений.
Ви підійшли до моменту, коли закінчується ембріональний період, і починається ембріофетальний, або неофетальний (ранній фетальний). Зараз це вже не ембріон, а повноцінний плід. Це вже маленький чоловічок, у якого сформовані легко впізнавані риси людського організму. Зараз розмір плода становить від 5 до 13 мм, а вага 0.8 грама. У нього вже є всі органи, крім ендокринної та нервової системи, як і раніше розвивається плацента, головний мозок активно формується. До кінця цього міні-терміну буде сформована пряма кишка і з'явиться статевий горбок - початок формування статевих органів. Але стать дитини все ще не ясна.
Шкіра стає товстішою, потові залози поки не сформовані, а ось сальні вже повноцінні і почали свою функцію. Активно розвивається тонкий кишечник, з'явилися наднирники. Грудна клітка формується, серце прикривається грудиною. Стравохід стає прохідним, майже сформувалася трахея. Передня черевна стінка активно розвивається. Повним ходом йде формування легенів. Все ще не зник хвостик, але вже повністю зникли зябра.
Стать плода по УЗД не визначити, але є інші методи, що працюють вже з цього тижня.
Ваш малюк поки займає зовсім мало місця в матці, розмір її збільшився незначно, але вже можуть бути такі симптоми як часте сечовипускання і схильність до запорів. Це пов'язано з тим що малюк починає чинити тиск на сусідні органи. Живіт виглядає як зазвичай, ніяких явних ознак наявності живої істоти всередині вас немає.
Це час, коли майбутня мама повинна проходити повне обстеження, якщо звернення в жіночу консультацію було своєчасним.
На такому терміні зазвичай гінеколог не оглядає пацієнток в кріслі. Призначаються аналізи крові і сечі, кров на RW (сифіліс), гепатити, ВІЛ-інфекцію. При першому зверненні вимірюється вага тіла, розміри таза жінки (це роблять спеціальним інструментом). Проводиться забір мазків на інфекції.
Членам родини потрібно зробити флюорографію, контакт з туберкульозом для жінки небезпечний. Потрібен огляд стоматолога і терапевта, якщо раніше були викидні або є генетичні захворювання в сім'ї, проводиться медико-генетичне консультування. Лікар-генетик може розрахувати ризик генетичних відхилень у конкретної дитини.
В цілому, це досить клопіткий час. Як часто доведеться відвідувати гінеколога, багато в чому залежить від вашого стану здоров'я.
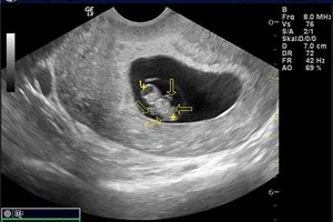
УЗД на такому терміні призначається рідко (зазвичай для підтвердження факту вагітності). Серцебиття дитини видно чітко, якщо у вас двійня - діагноз ставиться без сумнівів.
Зараз рівень ХГЧ в крові вже дуже високий, всі тести безсумнівно будуть позитивними.
Болі в цей період не повинні бути, проте може тривожити відчуття, що трохи тягне живіт. Це пов'язано з розтягуванням маткових зв'язок швидко зростаючою маткою.
Зберігається підвищена секреція, але виражені білі, жовті, зеленуваті або коричневі виділення - це привід для тривоги і консультації гінеколога.
Токсикоз (якщо він є) зараз у самому розпалі, і є самою явною проблемою, яка тривожить майбутню матір.
Висока ймовірність викидня і токсикоз роблять цей період вельми складним для багатьох жінок. Зараз, як ніколи, важливо берегти себе. Так як в даний момент відбувається формування багатьох важких пороків розвитку. Якщо відбудеться порушення закриття ембріональних щілин лиця, у новонародженого може виявитися вовча паща або заяча губа. А якщо буде порушений процес формування передньої черевної стінки, можливе народження дитини з гастрошизис - внутрішньоутробним випаданням (евентрація) внутрішніх органів. Порушення формування органів малого таза і прямої кишки дає початок таких пороків, як екстрофія сечового міхура, вроджена клоака. Аномалії закладки і реканалізації стравоходу створюють передумови до атрезії стравоходу. Можуть формуватися аномалії травної системи, кінцівок, нервової системи.
Провокуючі чинники - це пошкодження плоду внаслідок впливу токсинів (ліки, наркотики, алкоголь, інші отрути), інфекції, іонізуюче випромінювання. Ось чому так важливо, якомога швидше відмовитися від алкоголю , наркотиків і постаратися відгородити себе від прийому різних сильнодіючих медикаментів. Будь-яке лікування, навіть легка застуда, повинні проходити під контролем фахівців.
Бережіть себе і майбутню дитину. Що б ви не робили, думайте в першу чергу про те, чи не зашкодить це малюкові. Не займайтеся самолікуванням! Уникайте будь-яких інфекцій і інтоксикацій. Харчуйтеся правильно настільки, наскільки це можливо. Більше часу проводьте на свіжому повітрі. Висипайтеся. Якщо раніше були аборти, викидні, або є ознаки загрози для життя вашого майбутнього дитя, відмовтеся від статевих контактів. Не займайтеся важкою фізичною працею. Якщо ви ще не встали на облік в жіночій консультації - зробіть це.
Якщо у вас термін середина другого місяця по акушерському календарю, то дізнатися кількість дітей не складно. Гінеколог може запідозрити, що там двійня вже при звичайному огляді на кріслі, так як матка виразно більше норми на вказаному періоді перебування в положенні. У цьому випадку вас направлять на УЗД для підтвердження діагнозу.
